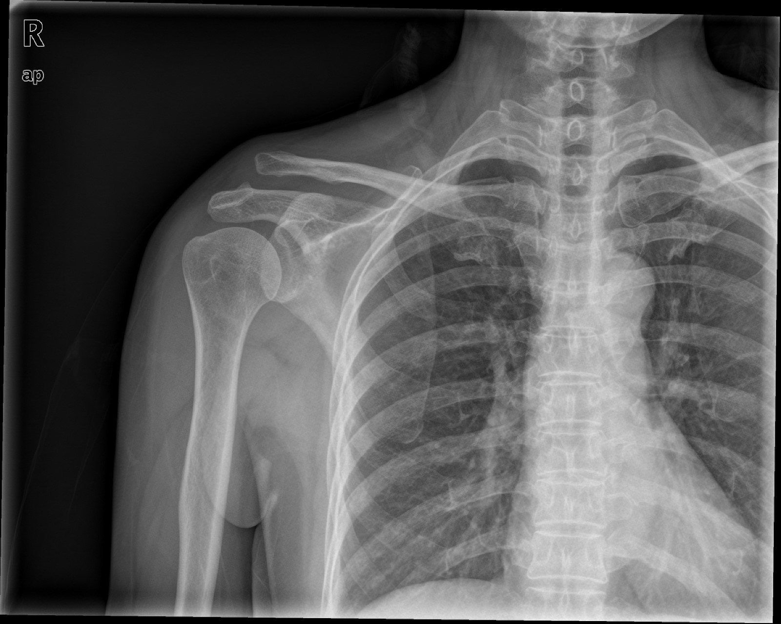
概要 鎖骨は体幹の前方かつ頭側に左右1本ずつあるs字型の細長い骨である。内側では前胸部にある胸骨と関節を作る。 外側では肩甲骨の肩峰と関節を作る。 本骨折は頻度が高く、全骨折の約10 15%を占め、若年者に多く見られる。鎖骨骨折の治療期間がどのくらいになるのか? つまり、全治どのくらいなのか? 骨折をしてしまえば、 当然、これは気になるところですね。 ただ、それだけでなく、 この完治までの治療期間はどういう治療をしてMixi鎖骨骨折者 骨が付くまでの期間は 折れかたによって違うのでしょうか? 自分はズレがほとんどないらしいのですが、その方が早く治ったりするのでしょうか? 年齢によっても違うと聞きましたが、みなさんは何歳ぐらいで、どれくらいの怪我でどれくら

做愛會影響骨折癒合嗎 關節炎 骨質疏鬆 骨科 戴大為醫師
鎖骨 骨折 手術 完治 期間
鎖骨 骨折 手術 完治 期間-鎖骨を 骨折したら・・・ 鎖骨骨折(解剖 症状 治療法、 治療期間 手術の必要性・要否) の まとめ 非医療従事者向けのまとめです 鎖骨骨折は子供(乳幼児)から大人、高齢者まで全年齢で発生します。 治療方法は、基本的には年齢とは関係ないです。今回は、骨折がどれくらいでくっつくのか、どのようにして治るのかを簡単に説明します。 参考にしてみてください。 骨折の癒合日数 骨折した部位によって、骨癒合の期間は異なります。 部位だけでなく、患者の年齢、栄養状態、全身状態、治療法なども影響します。



锁骨骨折临床路径下载 Word模板 爱问共享资料
今回は、骨折がどれくらいでくっつくのか、どのようにして治るのかを簡単に説明します。 参考にしてみてください。 骨折の癒合日数 骨折した部位によって、骨癒合の期間は異なります。 部位だけでなく、患者の年齢、栄養状態、全身状態、治療法なども影響します。リハビリ期間 鎖骨骨折後の腕の長期固定化のために、筋肉は部分的に萎縮するため、鎖骨骨折後のリハビリテーションは単に必要である。 可能になった直後に運動が始まります。 クラスの負荷と種類は、各患者に対して個別に医師によって選択されます。こんにちは、サイクリストのYasunori(@yasu_cycle)です。 先日のエンデューロでの落車骨折から1ヶ月が経ちました。 おかげさまで経過は良好、1ヶ月目の診察結果もよかったので、鎖骨固定バンドを外すことができました。 骨折当日から、これまでの経過を振り返ってみたいと思います。
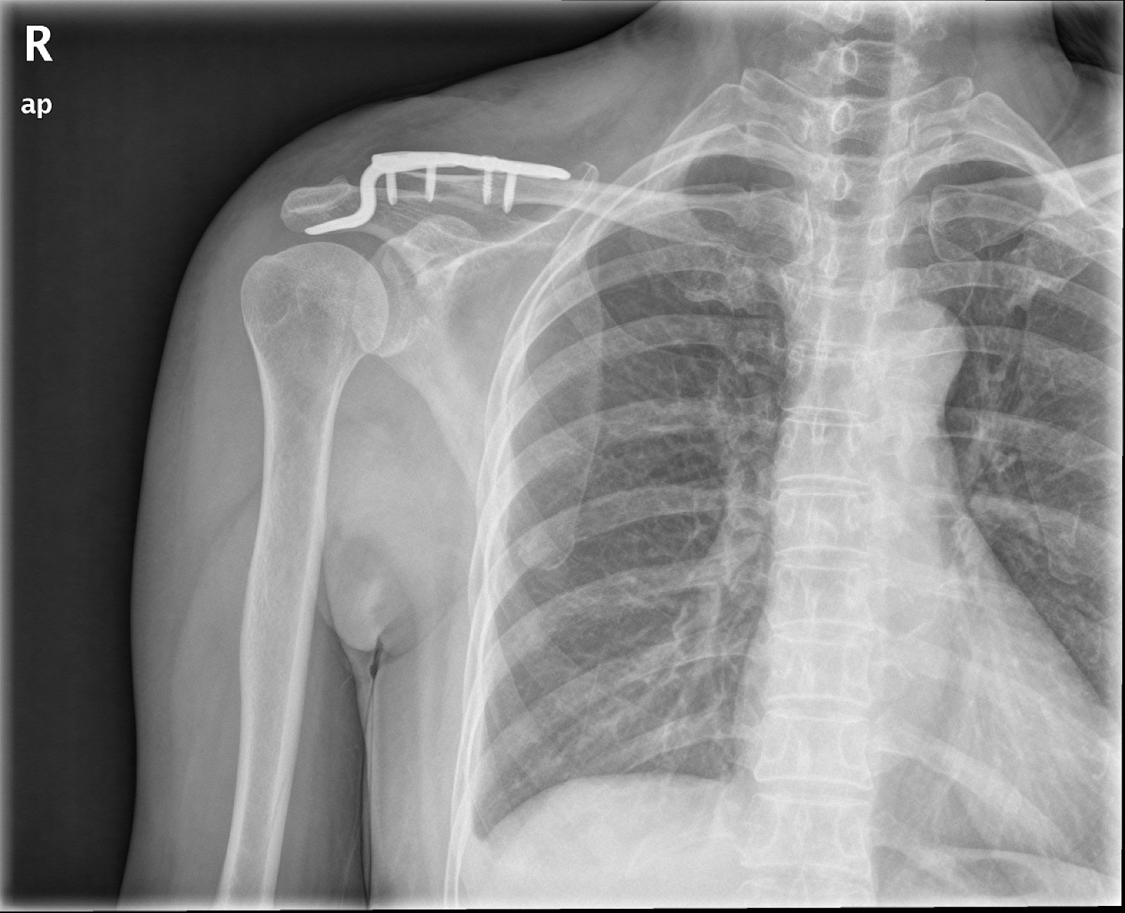
まあ、今回の鎖骨プレート除去(抜釘)手術は埋め込む時の手術後よりも大分楽でした。 入院期間もプレートを埋め込んだ時は3泊4日で5日間の入院期間を要しましたが、今回は 2日間の入院 で済みました。 入院となると費用の方が気になりますよね。鎖骨骨折をしたら知っておいて欲しいこと 鎖骨バンドは二枚以上必要 鎖骨を骨折して、病院に行くと 鎖骨バンド と呼ばれるものを処方されます。 手術をするほどの怪我の場合はされないことがあります。Mixi鎖骨骨折者 骨が付くまでの期間は 折れかたによって違うのでしょうか? 自分はズレがほとんどないらしいのですが、その方が早く治ったりするのでしょうか? 年齢によっても違うと聞きましたが、みなさんは何歳ぐらいで、どれくらいの怪我でどれくら
・鎖骨のどこを骨折した? ・鎖骨骨折かどうかどうやって分かった? ・治療方法と治療期間は? ・痛みはいつまで続く? ・装具固定中はどんなリハビリをすれば良い? ・骨がくっついたらどんなリハビリをすれば良い? ・骨折どんな服を着れば良い?鎖骨骨折をしたら知っておいて欲しいこと 鎖骨バンドは二枚以上必要 鎖骨を骨折して、病院に行くと 鎖骨バンド と呼ばれるものを処方されます。 手術をするほどの怪我の場合はされないことがあります。鎖骨骨折の治療 鎖骨骨折の治療法は保存療法と手術療法に分けられます。 保存療法 鎖骨骨折は比較的予後が良好であるため、多くは保存療法が選択されます。 骨の転移が大きくなければ整復をして固定する方法が一般的に用いられます。



勞保 失能扶助險 殘扶險 講師 鄭正一最佳方案的提供者 車禍 一樣都是車禍鎖骨骨折 談起來為什麼不一樣



上肢骨折下载 Word模板 爱问共享资料
「1鎖骨近位端骨折」はほとんど見たことが無いというくらい珍しい骨折ですので、ここでは「 2鎖骨骨幹部骨折 」と「 3鎖骨遠位端骨折 」についてお話しします。 どの骨折についてもたいていは3か月程度の治療期間かかりますが、手術をするかしないかでも治療期間が変わるのが普通です。・鎖骨のどこを骨折した? ・鎖骨骨折かどうかどうやって分かった? ・治療方法と治療期間は? ・痛みはいつまで続く? ・装具固定中はどんなリハビリをすれば良い? ・骨がくっついたらどんなリハビリをすれば良い? ・骨折どんな服を着れば良い?骨折は怪我の中でも、完治するまでに長い期間を要するもので状態によっては入院や手術が必要になります。骨がくっつくまでにどれくらいの期間がかかるのでしょうか? 部位別治療期間 それぞれの部位別の治療期間をみてみましょう。 ・中手指骨折 2週間 ・肋骨骨折 3週間 ・鎖骨骨折 4



锁骨骨折 黄沪 下载 Ppt模板 爱问共享资料



肩周炎的诊断与鉴别诊断 肩周炎 肩周炎 好大夫在线



锁定加压钢板治疗四肢骨折的临床应用下载 Word模板 爱问共享资料



临床路径详情 人卫临床助手 人民卫生出版社



锁骨骨折ppt下载 Ppt模板 爱问共享资料



锁骨骨折临床路径下载 Word模板 爱问共享资料



锁骨骨折怎么办 专家文章 博禾医生


怎么孩子一出生就锁骨骨折了 我该不该找医院赔偿 丨



锁骨骨折是一种什么样的体验 知乎



骨折后 多喝骨头汤 卧床静养好得快 小心越养越伤 做好哪三步能加速恢复 知乎


症例報告 鎖骨骨折 二条駅 西大路御池 中京区



一位锁骨骨折选手的自我修养 知乎



骨折是一种怎样的体验 知乎



交通事故による骨折の慰謝料 金額を決定する要素と相場額について 交通事故弁護士ナビ



Elpis剛出生就鎖骨骨折 寶寶真的不是越大越好 自然產4075克寶寶後續 新生兒鎖骨骨折 艾煮日子



做愛會影響骨折癒合嗎 關節炎 骨質疏鬆 骨科 戴大為醫師



头条文章


徐州市传染病医院外科成功为hiv阳性患者实施取钢板手术 全程导医网


香港骨傷針灸專科有限公司



8公分長鋼釘體內迷航3年男咳嗽就醫才發現 生活新聞 生活 聯合新聞網



锁骨骨折临床路径下载 Word模板 爱问共享资料



锁骨骨折的护理 Ppt Download


为了cos吴彦祖 我提前两个月摔断了锁骨 果壳病人 手术



17 我的锁骨历险记 知乎


第六章骨折



锁骨粉碎性骨折后遗症有哪些 专家文章 博禾医生



Ppt 锁骨骨折fracture Of The Clavicle Powerpoint Presentation Free Download Id



瓷娃娃 骨折手术难 难 难 郏县人民医院成功完成我县首例成骨不全骨折手术 郏县人民医院



骨折如何調養呢 中醫養骨3階段 飲食應該這樣配 Heho健康



锁骨骨折术后康复 锁骨骨折 康复



勞保 失能扶助險 殘扶險 講師 鄭正一最佳方案的提供者 車禍 一樣都是車禍鎖骨骨折 談起來為什麼不一樣



锁骨骨折如何绑绷带 专家文章 博禾医生



锁骨骨折后吃什么恢复得快 专家文章 博禾医生



問題 車禍被索賠110萬並告過失傷害 Law Ptt學習區



上肢骨折中医护理常规下载 Word模板 爱问共享资料



锁骨骨折及肩锁脱位的术后康复 锁骨骨折 锁骨骨折


悟空问答 12岁小男孩锁骨骨折 里面上钢板影响长身高吗 9个回答



骨折后 多喝骨头汤 卧床静养好得快 小心越养越伤 做好哪三步能加速恢复 知乎


锁骨骨折术后锻炼流程 健康号 微医


為什麼手臂總放不下來 財團法人賴本源文教基金會


为了cos吴彦祖 我提前两个月摔断了锁骨 果壳病人


人卫中医助手


锁骨骨折睡觉注意什么



鍾承翰醫師骨科chen Han Chung M D Orthopaedic Surgeon 一月14



一位锁骨骨折选手的自我修养 知乎



請問 鎖骨骨折 X光 弧形夾板固定方式作治療 Mobile01



鎖骨骨折のまとめ 鎖骨の解剖 治療 手術適応と治療期間 鎖骨骨折にも色々あります 研修医 救急医のための整形外科 外傷 スポーツ医学マニュアル



微博搜索


微創手術治療鎖骨骨折效果佳 Coolanews府城電子報 Pchome 個人新聞台



怎么孩子一出生就锁骨骨折了 我该不该找医院赔偿 知乎


人卫中医助手


鎖骨骨折 転倒後腕が上がらない 藤田鍼灸整骨院



锁骨骨折及肩锁脱位的术后康复 锁骨骨折 锁骨骨折



多部位骨折临床路径下载 Word模板 爱问共享资料



骨折后 多喝骨头汤 卧床静养好得快 小心越养越伤 做好哪三步能加速恢复 知乎



17 我的锁骨历险记 知乎


新生儿脐炎 脐尿管瘘和锁骨骨折 月嫂该赔钱吗



狐大医 疫情期间 这份居家孕妈 体重管理指南 请收好 脂肪



怎么孩子一出生就锁骨骨折了 我该不该找医院赔偿 知乎



锁骨骨折及肩锁脱位的术后康复 锁骨骨折 锁骨骨折



个月的孩子摔下沙发 幸亏爸爸懂得这个容易被忽略的严重伤害 知乎



医者仁心 春节长假运动要当心 谨防意外骨折发生 知乎


3jguhythc9zkgm


鎖骨骨折怎麼辦 健康第一網


人卫中医助手



狐大医 疫情期间 这份居家孕妈 体重管理指南 请收好 脂肪



詭異翻車請教鎖骨骨折復健問題 Mobile01


髌骨骨折



兒童鎖骨骨折需要注意什麼 對以後有什麼影響 分享健康新闻 Youtube


中市議員張玉嬿騎機車跑行程鎖骨骨折 腦震盪送醫



锁骨骨折怎么办 专家文章 博禾医生



中国游客柬埔寨外伤致骨折协和医生接力完美修复



安徽糖尿病足患者的保肢治疗经历 知乎


月嫂該賠錢嗎 説説新生兒臍尿管瘻 臍炎和鎖骨骨折 白衣山貓 微文庫



锁骨骨折概述锁骨骨折临床常见 多发于儿童 骨折多发生于中段 即内前凸外后凹的生理弯曲交界 锁骨 和肩胛骨为上肢带骨 起着联络上肢与躯干的作用 所以上肢的重力对骨折的移位影响较大 Ppt Download



微博搜索


全身骨折石膏绷带图锁骨骨折 保守治疗有哪些 锁骨骨折 3925 健康问答


Ober手臂吊带前臂上肢锁骨骨折扭伤固定带肩胛骨肩关节脱臼脱位固定胳膊护具托护右边m 身高1 5 1 75米 图片价格品牌报价 京东


第六章骨折



锁骨骨折的诊断及治疗骨伤科李峰 Ppt Download


婦人樓梯跌落斷12根肋骨鈦合金骨折固定術防肺臟損傷



鍾承翰醫師骨科chen Han Chung M D Orthopaedic Surgeon 一月14


为了cos吴彦祖 我提前两个月摔断了锁骨 果壳病人



線性骨折 傳統醫材更疼痛 您有其他好選擇 熱河診所



解剖螺旋型互鎖式鋼板鎖骨骨折治療新利器 Ettoday健康雲 Ettoday新聞雲



锁骨骨折需要做手术吗 专家文章 博禾医生


Nice 结联合弹性钉固定治疗成人robinson 2b型锁骨中段骨折 中国修复重建外科杂志 唯一官网



医用锁骨固定带背姿固定驼背坐姿锁骨骨折固定8字绑带 阿里巴巴
0 件のコメント:
コメントを投稿